Frame 1121

Tags:

lincoln harris

From New Dentist to Full Mouth Rehabilitation

Mar 14, 2022
dental education Full Arch Dentistry Lincoln Harris Fellowship in Restorative Dentistry Advanced Treatment Planning

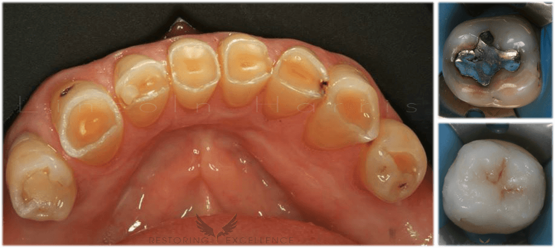
Replacing Composite FPD

Sep 2, 2015
Treatment Planning Bridge Cases composite fpd Dentist Dentistry Lincoln Harris Restoring Excellence

Restoring Wear. Single Shade. Free Hand.

Aug 11, 2015
Treatment Planning Cases Composite Veneer Lincoln Harris Restoring Excellence restoring wear

Replacing Pin/Lingual Retainer FPD

Jul 9, 2015
Treatment Planning Veneer Bridge Cases Crown Crowns Lincoln Harris Quadrant Dentistry Restoring Excellence
Image

RipeGlobal Nationally Approved PACE Program Provider for FAGD/MAGD credit. Approval does not imply acceptance by any regulatory authority or AGD endorsement. 9/1/2022 to 8/31/2026. Provider ID# 386578

Create An Access Account
  • VIRTUAL DENTAL RESIDENCIES
  • PATHWAY ASSESSMENT TOOL
  • MENTORS
  • BLOG
  • CONTACT US
DISCIPLINES
  • Restorative
  • Implantology
  • Othodontics
LEARNING
  • Fast Track Programs
  • Virtual Residencies
  • Free Masterclasses
MEMBERSHIP
  • On-Demand Learning
  • Student Concession Access
RESOURCES
  • CPD Credit Tracker
  • Blogs
  • Podcast
ABOUT
  • Our Educators
  • Our Approach
  • Investors
  • Join Our Community
  • Contact Us
Phone NZ +64 800 493 630
Phone UK +44 7402 127473
Phone Europe +372 602 6780
Phone Canada +1 226 407 7473

UNITED STATES OFFICE

71 Lyme Road, Hanover, NH 03755 USA
+1 517 888 7473

HEAD EDUCATION OFFICE

14 See Street, Bargara QLD 4670
1300 436 033

 

Copyright @ 2022 RipeGlobal Pty Ltd
  • TERMS & CONDITIONS
  • PRIVACY POLICY
  • STUDENT POLICIES