FREE CE MASTERCLASS
Mission impossible: management of deep margins in the posterior dentition
With Dr. Zain Rizvi
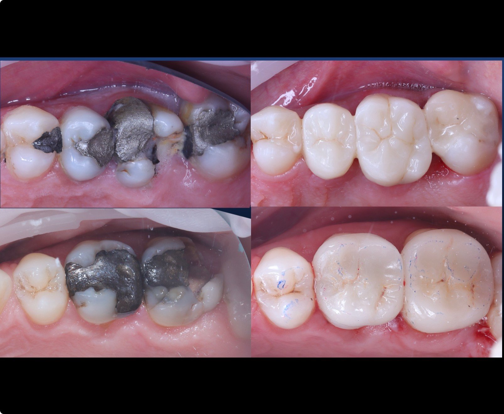
Restoring deep margins in the posterior dentition is one of the most challenging parts of everyday dentistry. It is rarely straightforward, often stressful, and can quickly derail your schedule if you do not have a clear plan.
In this live masterclass, Dr Zain Rizvi breaks down the complete approach to managing deep margins, giving you the tools to restore even the toughest posterior cases with confidence.
Drawing from real clinical experience, this session shows you how to control tissues, isolate effectively, and restore teeth that many clinicians would consider unsalvageable. You will learn how to bring predictability, clarity and structure to cases that typically feel chaotic.
This lecture explores how to simplify and standardize deep margin management, covering:
- How to manage bleeding tissues in compromised posterior situations
- How to achieve a reliable apical seal in deep margins
- How to create strong, predictable contact points in Class 2 restorations
- Practical isolation strategies that make difficult cases easier to manage
By the end of the session, you will understand how to:
- Restore teeth you may have previously given up on
- Improve your Class 2 restorations with predictable and repeatable workflows
- Reduce stress when managing deep margins by using structured steps
- Work more efficiently, predictably and profitably in daily clinical practice
📆 Date and Time:
Monday, December 8th, 7:00pm GMT (London)
Your timezone is:
Register now:
“As a young dentist building a new patient list, I was often given the cases that nobody else wanted. These were heavily broken teeth that were difficult to access and restore, often on patients who expected those teeth to be saved.
After countless sessions feeling frustrated, demoralised and always running overtime with little reward, I slowly began to learn how to restore these teeth through trial and error.
Over time, this skill changed my entire clinical pathway. My patients became genuinely appreciative that their teeth could be saved. Other clinicians started to refer their difficult cases to me. Today, I can manage these teeth predictably, confidently and profitably, and I want to show you how to do the same.”
- Dr Zain Rizvi
.jpeg)
Meet Your Host:

Dr Zain Rizvi
RESTORATIVE LEAD EDUCATOR
BDS, BSc (Hons)
United Kingdom 🇬🇧
Now Restorative Lead Educator at RipeGlobal, Dr Zain Rizvi is a restorative dentist located in London. During his time at Kings College London he was awarded Dental Student of The Year as well as the British Academy of Cosmetic Dentistry’s Rising Star Scholarship.
Since gaining his BDS, Zain has published a book on Dentistry: “Know The Drill” and helps provide taster courses for students considering Dentistry as a future career. He has also been invited to No.10 Downing Street in the past for a prime minister’s reception as recognition for his work.
In his spare time, Zain enjoys playing cricket and football. He also takes a keen interest in politics and current affairs.
Certification Details
Course Title: Aligner Workflows Simplified: Consistency from Consult to Conclusion
Educator Name: Dr. Marcela Duran, BDS
Location: Online
Delivery Method: Lecture
AGD Subject Code 370
GDC Development Outcome C
Awarded to Live Event attendees

